ماندگاری پروتز گونه و چانه


آنچه در این مقاله میخوانید


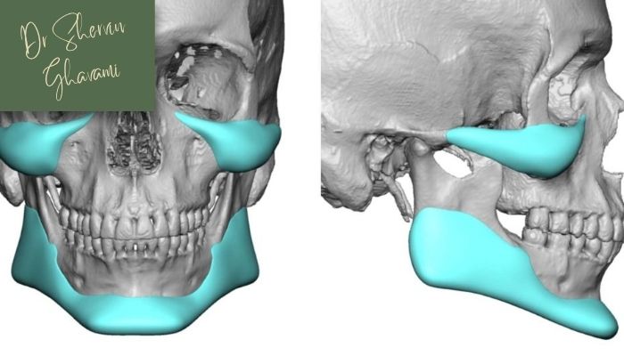
اگر هیچ مشکل خاصی ایجاد نشود نیازی به تعویض نیست و پروتز میتواند مادامالعمر باقی بماند.
در هفتههای اول به دلیل تورم این حس ممکن است ایجاد شود اما معمولاً با گذشت زمان برطرف میشود.
امکان جابجایی، تعویض یا خارج کردن پروتز وجود دارد. در پلیاتیلن متخلخل خروج دشوارتر است پس در انتخاب اولیه دقت کنید.
پروتز ثابت میماند اما بافت نرم تغییر میکند. گاهی برای هماهنگی تزریق چربی یا لیفت سبک در سالهای بعد پیشنهاد میشود.
لیست نظرات
من ۸ ساله پروتز چونه گذاشتم هنوزم مثل روز اولم فقط کمی با پیری صورتم فرق کرده.
راستش من بیشتر به خاطر عقب بودن چونه رفتم پروتز گذاشتم الان بعد از ۵ سال هنوز راضیم.
میترسیدم زود خراب شه ولی واقعا دوامش بالاست بهتر از فیلره به نظرم.
نکته مهمش انتخاب جراحه و من چون جراحم خوب بود اصلا مشکل جابهجایی نداشتم.
